Një test i shpejtë, që zgjat rreth 10 minuta, po fiton gjithnjë e më shumë rëndësi në vendimmarrjen për përdorimin e statinave dhe vlerësimin e rrezikut për sëmundje të zemrës, shkruan Wall Street Journal.
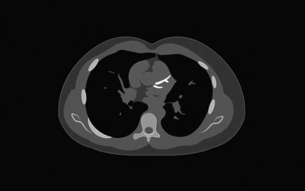
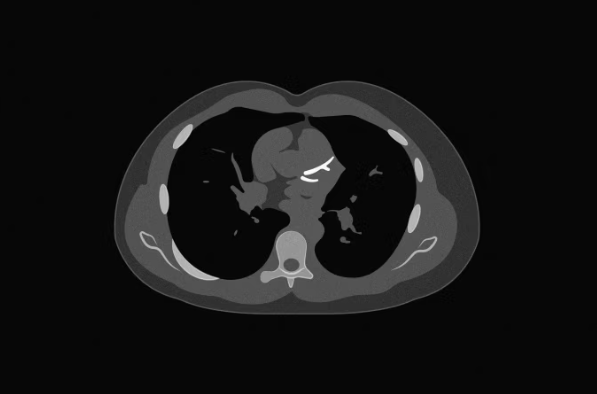
Bëhet fjalë për skanimin e kalciumit në arteriet koronare, i njohur si Coronary Artery Calcium scan, i cili mat nivelin e depozitave të kalciumit në arteriet e zemrës. Rezultatet e këtij testi variojnë nga 0 deri në 1,000 dhe po përdoren gjithnjë e më shumë nga mjekët për të përcaktuar rrezikun e pacientëve dhe nevojën për trajtim me ilaçe për kolesterolin.
Tradicionalisht, vlerësimi i rrezikut për sëmundjet kardiovaskulare është bazuar kryesisht në nivelin e kolesterolit, veçanërisht të LDL cholesterol, i njohur si “kolesteroli i keq”. Megjithatë, ekspertët po theksojnë se kombinimi i këtij treguesi me rezultatet e skanimit CAC jep një pamje më të saktë të gjendjes së arterieve.
Sipas udhëzimeve të reja nga organizatat kryesore të kardiologjisë, për herë të parë janë përcaktuar edhe nivele të rekomanduara të LDL-së bazuar në rezultatet e këtij skanimi. Këto udhëzime synojnë të ndihmojnë mjekët të personalizojnë trajtimin për pacientët, duke vendosur nëse duhet të fillohet terapia me Statins apo jo.
Ekspertët thonë se ky test është relativisht i përballueshëm dhe i thjeshtë për t’u kryer, duke e bërë atë një mjet të dobishëm për individët që janë të pasigurt nëse kanë nevojë për trajtim. Në këtë mënyrë, vendimet për shëndetin e zemrës po bëhen gjithnjë e më të personalizuara dhe të bazuara në të dhëna më të detajuara. /skyweb.al
















